
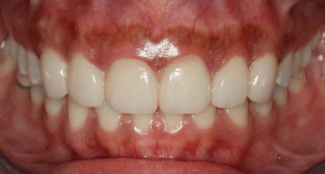
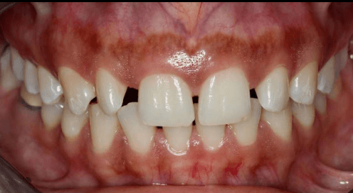
Gallery
Explore real before-and-after smile transformations at Winterset Dental that showcase the expert, specialist-level restorative and implant work our compassionate team delivers to help you regain confidence, function, and a beautiful smile.
A Showcase of Smile Transformations
When you choose Winterset Dental Care, you can know you’re working with a team that is dedicated to getting the job done right the first time.
























