
Tooth-picking on Bob
In the “good old days”, restaurants had toothpicks for customers to dislodge food particles from their teeth. What…

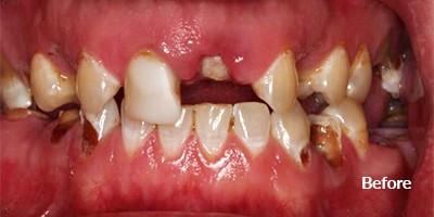
Stay informed and confident in your dental health with Winterset Dental’s blog, where our specialists share expert insights, practical tips, and clear explanations on dental implants, missing-tooth solutions, dentures, and more to help you make smarter decisions about your smile and oral care.

In the “good old days”, restaurants had toothpicks for customers to dislodge food particles from their teeth. What…

It’s time to make your dentist and his staff happy this year. Take back the bags of candy…

Don’t we all experience that sinking feeling in the stomach when we see police and emergency equipment at…

Marion has been our patient for years and we were thrilled when she booked a new patient appointment…

I don’t treat these patients but I know that they can get gum infections, toothaches, and periodontal disease,…

…A letter opener, a nail clipper, a construction nail holder, or a nutcracker. And I’ve heard worse. Though…